Invisalign Teeth Straightening in Kingston!

Invisalign Teeth Straightening in Kingston!

invisalign-clear-aligners

You can have that beautiful smile you have always wanted

Did you know that 80% of adults could benefit from having Invisalign teeth straightening treatment?

Straightening your teeth can allow for much easier and better oral hygiene, whilst also decreasing the rate of tooth wear.  With Invisalign teeth straightening treatment, you no longer have to live with crooked teeth or crowded teeth, but instead achieve that perfect smile you have always wanted!

What is Invisalign?

Invisalign (a Clear Aligner Therapy, often thought of as Invisible Braces) is an orthodontic treatment for getting teeth straightened and improving your smile.  In the past, brackets and wires were the only option for correcting misaligned teeth, but Invisalign straightens teeth quickly and aesthetically using clear, virtually invisible, transparent aligners (rather than using traditional braces used by Orthodontists), and best of all – Invisalign is gentle and comfortable!

Invisalign aligners are almost invisible to everyone, making them a real alternative to unsightly braces, removing the need to feel self-conscious!  Unlike traditional braces and other teeth straightening products, Invisalign retainers are also removable, allowing easier eating, cleaning, bushing or flossing teeth.

What can Invisalign help with?

Thanks to its ability to give you straighter teeth, Invisalign is commonly chosen for its obvious aesthetic benefits, but Invisalign can also help with the following oral health problems:

Crowded teeth

When you don’t have enough room in your jaw for your teeth to fit normally, your teeth can bunch up, overlap and twist, sometimes getting pushed to the front or the back.

Crowded teeth can make it hard to brush and floss well, and therefore it’s easier for plaque, tartar, and harmful bacterial to build up.  Further down the line, this can lead to tooth decay and gum disease.  Your crowded teeth can also get worse over time.

Overbite

An overbite is when your upper front teeth overlap with your lower front teeth. Most people have at least a little overbite.

When your overbite is too large, your Dentist may say you have a deep bite. This can cause problems, from your teeth wearing down to pain in your jaw.  Doctors and Dentists use a percentage to describe overbites, and 5 to 25 percent is ideal.  Invisalign would be ideal for overbites outside of this range.

Underbite

An underbite is when you close your mouth and your lower front teeth are in front of your upper teeth. Often, this is a problem with your lower jaw being too far forward.

An underbite can make it hard to chew food properly, speak clearly, and it might cause your teeth to wear down more quickly, creating further problems with your teeth further down the line.

Crossbite

A crossbite is when you close your mouth and some of your upper teeth are sitting inside your lower teeth, rather than on the outside like they normally would.

A crossbite can make your teeth wear down or chip. It can also make your gums start to recede or make little notches above your gum line.  This kind of damage can lead to painful gum problems or even bone loss in the future.

Teeth with Wide Gaps

When you have extra space between two or more of your teeth, your doctor calls this spacing issues or gap teeth.

Wide gaps between teeth can create pockets between your teeth and gums where food can get stuck. It can make your gums tender and sore and even lead to gum disease.

Open Bite

If your upper and lower teeth don’t touch when your mouth is closed, your doctor calls this an open bite.

An open bite can make it hard to chew or difficult to bite into some common foods – like apples.

What is involved?

First, your teeth are assessed by our Invisalign specialist, and you are consulted about suitable options for your teeth.

When you begin your Invisalign teeth straightening treatment, Thames Street Dental will get clear aligners made custom for you – for best results, these aligners should be worn between 20 to 22 hours a day, but you can remove them for eating, drinking, brushing and flossing, allowing you to enjoy your favourite foods whilst maintaining good oral hygiene.

Each aligner needs to be worn for 7 to 14 days before moving onto the next aligner in the series, until the teeth reach their desired position.  The Dentist will review and discuss this with you in further detail during your treatment, approximately every 6 weeks.

How long before I see results?

Basic treatment can take between 12 weeks to 24 weeks depending on how much movement of the teeth is required, and most advanced cases are completed in 6 to 12 months, but you can start to see results within the first few weeks.

However, if you stop wearing your aligners too soon, the teeth will start to move back – it is very important to wear them as instructed and only remove them for eating, drinking and cleaning your teeth.

Can I treat just the upper or lower teeth?

In theory you can move only the upper teeth or only the lower teeth. However, this is not ideal as only moving one set of teeth may cause issues with your bite. Hence, it is always advisable to treat the mouth as a whole in order to deliver the best outcome.

Book in now for your FREE Consulation!

We offer a FREE Invisalign Consultation for anyone interested – please contact us to arrange yours!

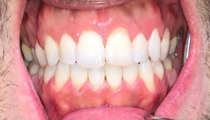
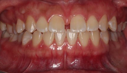
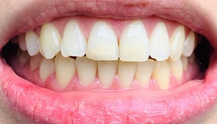
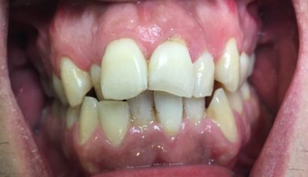
Real-life examples of Teeth Before and After Invisalign

Example 1

Before

Before

After

After

Example 2

Before

Before

After

After

Example 3

Before

Before

After

After

We often find potential patients wondering about if their teeth are suitable for Invisalign, and if so, what the results could look like. In the first instance, you can look at some real-life examples below, but if you have any doubts about whether Invisalign could work for you, please do book in for a free consultation, and we would be more than happy to advise you.

How do I get a Smile Makeover?

At Thames Street Dental, we provide smile makeovers using Invisalign and Teeth Whitening treatments. If at the end of the treatment, the dentist believes you could benefit from composite bonding to really finish that exquisite smile, this will also be included in the makeover. Book in now for your free consultation.

BDA Good Practice
Invisalign
Restylane
Enlighten
Tabeo
General Dental Council
Boutique Whitening

Ready for a Radiant Smile?

Book now
Online Booking